- 发布人:xnxy120
- 时间:2025-12-31
- 来源:
- 浏览量:301
本网讯(通讯员 唐琼)当宝宝突然出现阵发性哭闹,无论怎么哄都没用,还伴有呕吐、排出果酱样大便时,宝爸宝妈千万不要掉以轻心,可能是小儿肠套叠来了。小儿肠套叠是婴幼儿常见的急腹症,若延误治疗可能会引发肠坏死,而超声检查正是早期识别它的“火眼金睛”。今天湘南学院附属医院超声医学科就来跟大家聊聊小儿肠套叠的超声诊断价值,帮助家长们筑牢宝宝的健康防线。

什么是小儿肠套叠?
小儿肠套叠是指一段肠管及其系膜套入邻近肠管内,导致肠内容物通过受阻,该病在2岁以下婴幼儿中好发。其发病机制与肠道发育不完善、蠕动节律紊乱相关,而饮食变化、肠道感染等是常见的诱因。
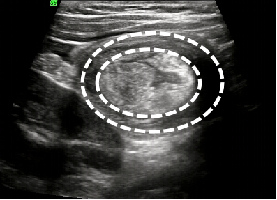
超声诊断肠套叠首选的核心优势是什么?
第一是“无创不遭罪”:做检查时,医生只需要在宝宝肚子上涂抹耦合剂,用探头进行体表扫查,有效避免了钡剂灌肠等传统检查带来的痛苦。

第二是“精准又快速”:肠套叠超声特征典型,“同心圆征”“套筒征”可明确识别;能精准定位套叠部位、范围,评估肠坏死、腹腔积液等并发症,为治疗提供依据。此外,超声检查操作便捷,通常10分钟可完成,能够快速明确诊断,为把握48小时“黄金治疗窗口期”提供有力支持,显著提升非手术复位成功率。
第三是“安全无辐射”:超声靠的是超声波成像,完全没有电离辐射,安全性经过了临床无数次验证。相较于CT等辐射性检查,更适配婴幼儿,多次复查亦不影响生长发育,临床地位不可替代。
第四是“复位显神通”: 病程≤72h,全身情况相对稳定,无明显休克、严重脱水或电解质紊乱,无肠管坏死、肠穿孔或腹膜炎及全身衰竭时。可在超声监视下,经肛门向肠腔灌注生理盐水,即可将肠套叠套入部推挤出鞘部,恢复肠管正常解剖位置,达到非手术治疗的目的,复位失败可再进一步手术治疗。

婴幼儿家属应熟练掌握肠套叠典型症状,一旦发现婴幼儿出现不明原因阵发性哭闹、频繁呕吐、排果酱样便或腹部触及包块等表现,需立即前往正规医院就诊。临床接诊后通常优先采用超声检查进行初步诊断,多数患儿经早期超声诊断及规范治疗后可顺利康复,避免手术及严重并发症发生。
因此,超声检查就像守护宝宝肠道健康的“隐形卫士”,用无创、精准、安全的优势,帮我们早发现、早应对肠套叠。家长多一份了解,宝宝就多一份保障——愿每个小宝贝都能远离病痛,健康成长。
一审:李丽君 二审:李莉 许莉珺 三审:蒋玉兰

